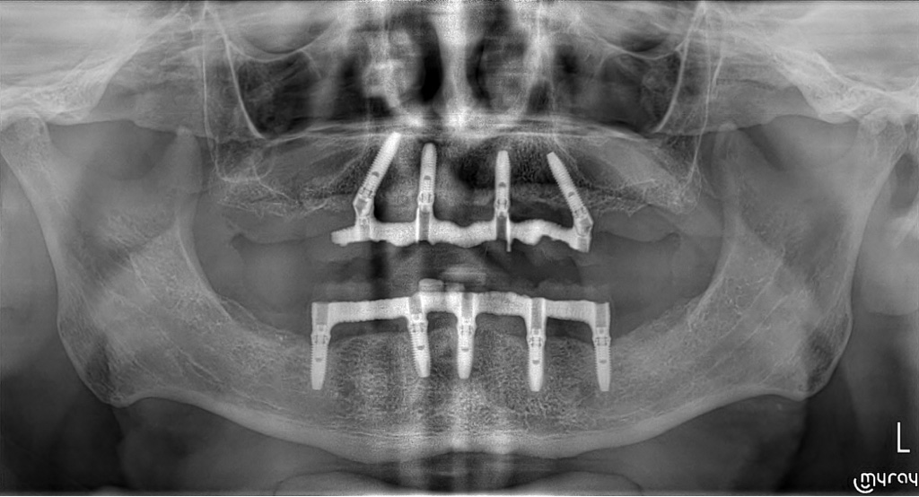
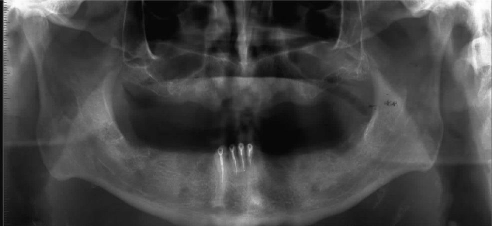
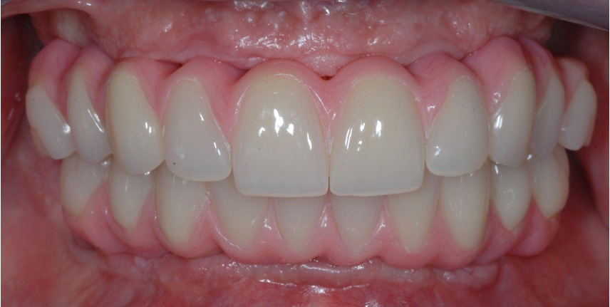
Impiantologia

Gli impianti hanno il compito di sostituire uno o più denti mancanti, fino ad un’edentulia completa, e di servire da sostegno per una protesi ad essi ancorata.

Allo Studio Ragazzini sappiamo gestire al meglio il tessuto osseo, che costituisce il sostegno dell’impianto, e siamo in grado di ricostruire tale tessuto nel caso esso venga a mancare, anche in situazioni molto complesse.

Si tratta di una competenza che abbiamo sviluppato in oltre quarant’anni di esperienza e che continuiamo ad accrescere anche attraverso un’attività di ricerca costante ed approfondita.

Le tecniche che utilizziamo sono sviluppate per rispondere al meglio alle vostre esigenze: invasività della chirurgia ridotta al minimo, nessun taglio della gengiva, chirurgia software guidata e carico immediato sono solo alcuni degli accorgimenti studiati per ridurre al minimo i disagi legati alla chirurgia.