Conservativa

L’odontoiatria conservativa e restaurativa cura le lesioni a carico dei tessuti dentali, selezionando la migliore soluzione tecnica ed estetica.

Il trattamento viene effettuato attraverso la rimozione dei tessuti cariati o danneggiati e la ricostruzione delle cavità per mezzo di materiali da otturazione (resine composite, cementi vetro-ionomerici). Il termine conservativa indica, appunto, un approccio minimamente invasivo che mira al rispetto delle strutture dentali residue.

Presso lo Studio Ragazzini studiamo ogni fase del trattamento, dall’individuazione della cura più idonea alle caratteristiche del paziente fino alla scelta dei materiali, con la massima attenzione e professionalità.

Un breve video sulla ricostruzione diretta, una delle attività su cui siamo più all’avanguardia.

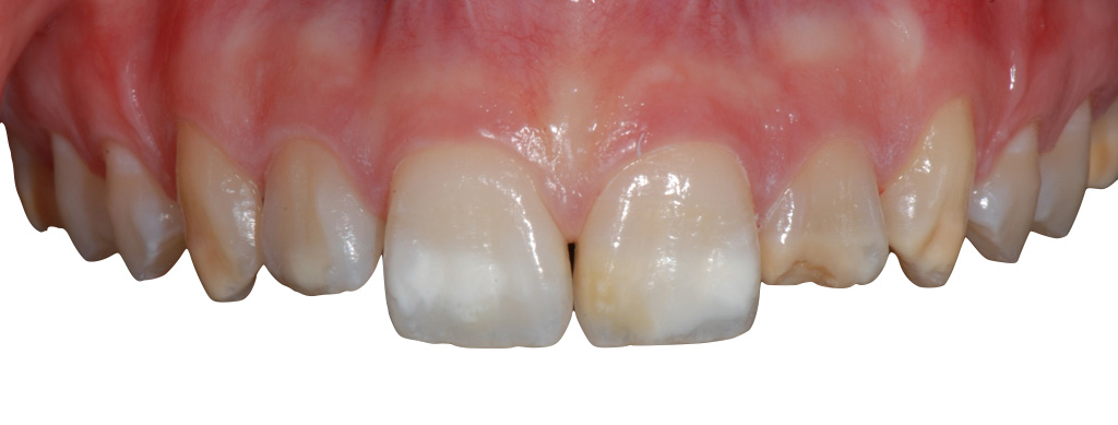
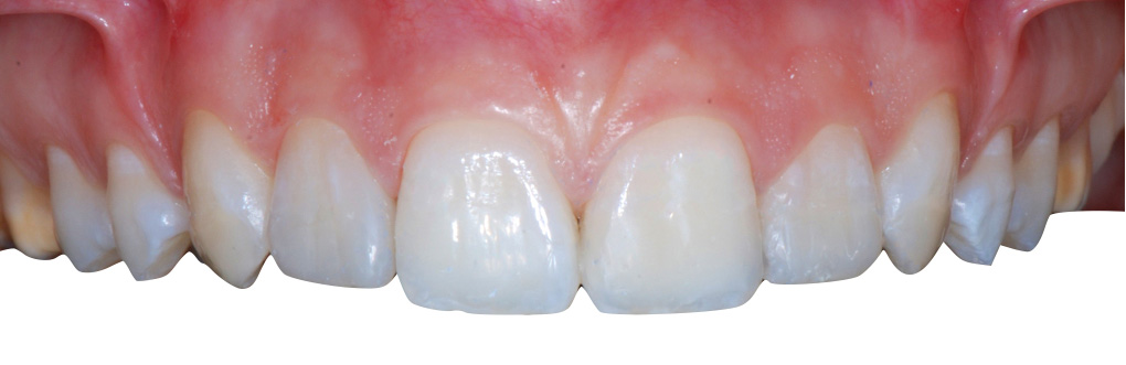
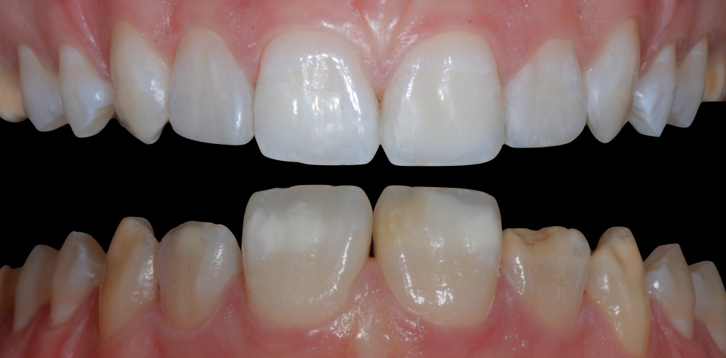
La conservativa diretta comprende tutti quegli interventi che noi medici realizziamo direttamente, senza l’ausilio di manufatti costruiti dall’odontotecnico, per curare denti cariati o per restaurare denti che presentano difetti di forma o di colore derivanti da cause diverse. I denti con lesioni cariose, i denti fratturati, i denti con difetti morfologici congeniti dovuti all’alterata formazione del dente stesso e con problemi legati al colore (discromie) possono essere quindi molto spesso trattati mediante le tecniche della conservativa diretta e quasi sempre nel corso di una sola seduta.

Utilizziamo materiali da restauro e da ricostruzione che ripristinano la funzionalità dentale, le resine composite, che garantiscono eccellenti risultati in termini di affidabilità biologica ed estetica.